Врачам в США удалось победить рак четвертой стадии

Ничего себе! Ссылаются на BBC.
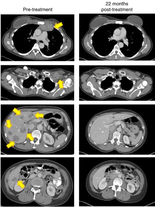
В рамках новой терапии в кровь женщины ввели 90 млрд иммунных клеток.
Два года назад врачи сказали Джуди Перкинс из Флориды, что ей осталось жить три месяца. Сегодня в ее теле нет и следа раковой опухоли.
Команда ученых из Национального университета рака в США говорит, что такая терапия все еще является экспериментальной, но со временем может стать методом лечения всех видов рака.
У Джуди был рак груди на терминальной стадии — он быстро распространялся и не подлежал общепринятому лечению.
В ее печени были опухоли размером с теннисный мяч, метастазы распространились по всему телу.
О своем опыте экспериментального лечения она рассказала журналистам: «Примерно через неделю после начала терапии я начала что-то чувствовать. В моей груди была опухоль, и я чувствовала, как она сжимается. Еще в одну-две недели она совсем исчезла».
Она вспоминает также первую томограмму после процедуры — все медперсонал «был очень взволнован и даже подпрыгивал».
Тогда же ей сообщили, что она полностью здорова.
Сейчас Джуди ходит в походы и плавает на каяках, а недавно в течение пяти недель путешествовала по родному штату.
Ну и там дальше в статье подробно объясняется, что это за терапия такая.
Да, это пока только один пациент, там еще предстоит масса исследований, но вообще история крайне важная!
Да и что это вообще не газетная утка из серии про британских ученых.
Потом же умиляет это перманентное задротство по успеху всего заграничного. А про РФ Алексу хватает запал писать только про распилы и откаты. Хотя можно было бы найти и увидеть недавно новость, как краснодарские врачи взялись за лечение девочки с маской Бэтмена, за которую не стали браться их американские коллеги.
- За что?
- Вы нашего Христа распяли!
- Так это две тысячи лет назад было!
- А я только вчера узнал!
Если серьезно, Алекс кагбэ не новостное агентство.
PS У меня тоже мама от РМЖ запущенного умерла. Делал, как мог, но.
На свой белок конечно: агонисты, блокаторы, трансгены, нокауты. А если действительно хорошая мишень для терапии, то хрен не попробовать? И чего плохого в получении денег? Чем их больше, тем больше можно сделать. В том числе и то, что иначе не профинансируют.
Вот это - тяжелый бред, дальше не читал. И вообще, ну еще один канцероген, допустим, мало их уже есть, что ли. В общем, ни о чем.
Очень жалко, что лабы и институты в "моем" универе переходит под управление таких челов. Ну, они и дочку Сказочного на мехмате защитили уже, все даунхилл.
Даже если спасать будут 10% с четверкой, это уже победа.
А опухоль с теннисный мяч, это хреново... У меня 2/3 левой почки была опухоль, до метастаз не дошло вроде как, но почку удалили. И это на стадии 2+, а тут четверка...
Дело муторное, так как надо собирать образцы опухолей у пациентA, читать мутации и заниматься этим в ручном режиме на полную ставку. Представьте стоимость исследований в лабе в год... в моей это тысяч 120 (зарплаты+реагенты), и это считается очень дешево. Так что, это есс-сно стоит больших денег, без гарантии ничего. В случае с этой пациенткой ей повезло, что именно она попала на это исследование (и ей это ничего не стоило), и что именно ее рак оказался подверженным лечению. У каждого пациента рак отличается на генетическом уровне, и неясно, будет работать или нет.
Была статьия и про лечение СПИДа цинк-пальцевыми нуклеазами. Ну да, получилось, но 10 лет спустя никто в ручном режиме цинк-пальцевыми нуклеазами СПИД не лечит. Надеюсь, этот случай будет другим. Может, как-то автоматизировать получится скриннинг и пр. Приставлять целую лабу к каждому раковому пациенту не получится.
В общем, то, что так получилось, скорее надо рассматривать как большое везение пациента. Разумеется, они молодцы, и без такой персонализированной иммуной терапии ничего бы не вышло. Но насколько это воспроизводимо - большой вопрос.
И сильно дешевле в ближайшие годы это не станет. Здесь же основные деньги не сиквенс опухоли, а возня с выделением, дизайном, наращиванием, сортингом и прочим различных специфических лимфоцитов, вот это вот все. А это тонкая ручная работа, которая плохо поддается автоматизации в отличие от сиквенса, и требует очень нехило оснащенных лабораторий и безумно квалифицированных людей.
Все остальное-эксперименты на мышах и в пробирке и практической перспективы не имеют.
www.nature.com
Ссылка на интервью с пациенткой:
www.cancerresearch.org
Но раз уж ты так серьезен, то напомню что Руанда 1994 года считается примером мальтузианской ловушки.
Люди, которые это придумали, работают же. Стиву Розенбергу лет 80, Джиму Аллисону лет 70.
Да, это очень дорогое лечение, требующее хорошего оборудования и квалифицированного персонала. Не удивлюсь, если курс будет стоить полмиллиона. Но люди переживут подъем страховки, если у них, когда придет их очередь, будет такая возможность.
На английском BBC, к сожалению, ничего подобного нет. Ни по тегу health, ни по поиску по слову "cancer". Ни в июне этого года, ни в июне прошлого.
Безусловно лучше чем смерть через несколько месяцев, но не всё так просто.
